Menu
down white plain arrow down gold plain arrow

Follow us on:

instagram instagram facebook facebook whatsapp whatsapp

Smile Gallery

Smile Gallery

down white plain arrow down gold plain arrow

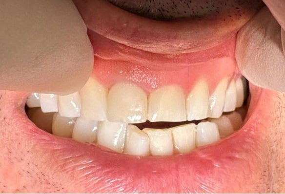
Case 13

Check out this stunning smile makeover at Smile Success! We combined composite bonding and whitening to enhance the appearance of our patients’ teeth, giving them…

Explore right white plain arrow right white plain arrow

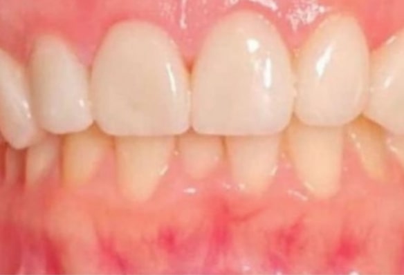
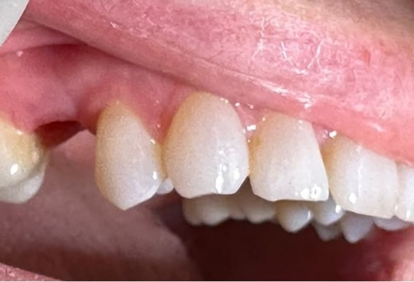
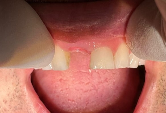
Case 14

Check out this amazing dental implant transformation at Smile Success! We restored one of the front teeth with a natural-looking dental implant, bringing back both…

Explore right white plain arrow right white plain arrow

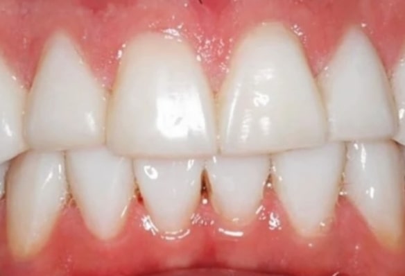
Case 15

Full Arch Dental Implants Check out this incredible transformation at Smile Success! We completed a full arch implant procedure, turning a complex case into a…

Explore right white plain arrow right white plain arrow

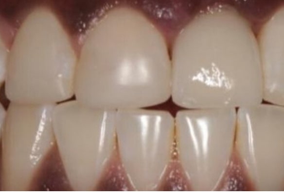
Case 16

Check out this fantastic dental implant transformation at Smile Success! We restored one of the back teeth with a dental implant, bringing back full function…

Explore right white plain arrow right white plain arrow

Case 17

Check out this incredible dental implant transformation at Smile Success! Our patient regained full function and a natural-looking smile with a carefully placed dental implant.…

Explore right white plain arrow right white plain arrow

Case 18

Check out this amazing smile transformation at Smile Success! We restored our patient’s smile and confidence with a dental implant, providing a strong and natural-looking…

Explore right white plain arrow right white plain arrow
smilesuccess

General Dentistry

Explore right white plain arrow right white plain arrow
smilesuccess

Cosmetic Dentistry

Explore right white plain arrow right white plain arrow
smilesuccess

Teeth Straightening

Explore right white plain arrow right white plain arrow
smilesuccess

Dental Implants

Explore right white plain arrow right white plain arrow
logo gold plain symbol

testimonials

what our patients say

“I'm currently having an implant done and the process has been fantastic. From the first step of booking an appointment and having my initial scan...”

Khalil M.

star gold plain icon

“Teamwork makes the dream work, everyone involved turned my nightmare around, I've had a lifetime fear of the dentist and the treatment I've received has...”

Christine C.

star gold plain icon

“Just finished having my second implant fitted and I am over the moon with the service and results that Smile Success delivered. I had visited...”

Kellie V.

star gold plain icon

“I discovered Smile Success through a family member and could not have been happier so far. My first appointment was with Dr Nadeem, a lovely...”

Lou C.

star gold plain icon

“I would highly recommend this practice all the staff were so lovely and helpful from my 1st appointment. I first went here believing there was...”

Kayla M.

star gold plain icon

“I have recently had 3 implants placed at Smile Success. From start to finish the service was professional, but friendly. All the staff I dealt...”

Elisabeth B.

star gold plain icon

“I am a very nervous patient and was terrified at the thought of a dental implant. Nikki was the first big step in this journey....”

Deborah C.

star gold plain icon

“Amazing experience from start to finish. I’ve had an awful year with a dentist in general including wisdom teeth out and then getting trismus which...”

Sharon M.

star gold plain icon

“I am about to complete my first implant procedure; I was very nervous but I need not have worried the service I received was very...”

John S.

star gold plain icon

“5* review for Smile Success. I first visited just under a year ago to see Sheema, their hygienist. She has been so helpful and understanding...”

Emma B.

star gold plain icon

“I have been with this practice for approximately ten years. In this time I have always found the team Proffesional, diligent and with integrity. I...”

Karen H.

star gold plain icon

“Implants are expensive but I think my old dentist was extortionate, so I was looking for a more reasonable price when I found Smile Success...”

Dewi J.

star gold plain icon
Book a Consultation right white plain arrow right pink plain arrow View our testimonials right white plain arrow right gold plain arrow

Speak to us

Book a Consultation

Book a Consultation right white plain arrow right pink plain arrow
BOOK YOUR CONSULTATION TODAY
4.9
Google-review