Menu
down white plain arrow down gold plain arrow

Follow us on:

instagram instagram facebook facebook whatsapp whatsapp

Smile Gallery

Smile Gallery

down white plain arrow down gold plain arrow

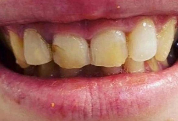
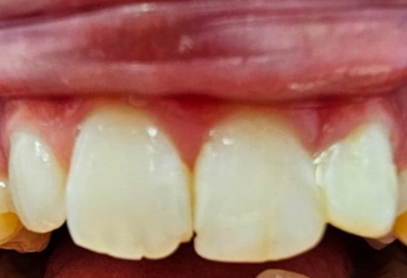
Case 7

A complete smile transformation at Smile Success! This patient’s journey combined Invisalign® to straighten their teeth, whitening for a brighter, more radiant smile, and composite…

Explore right white plain arrow right white plain arrow

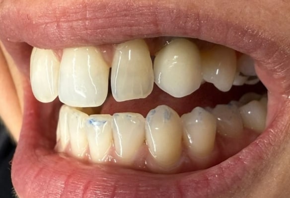
Case 8

Check out this life-changing transformation at Smile Success! This patient received a dental implant on one of their side teeth, restoring function and making biting…

Explore right white plain arrow right white plain arrow

Case 9

Check out our Smile Makeovers at Smile Success! Our patient achieved an aligned, balanced smile with Invisalign® to straighten their teeth and composite bonding to…

Explore right white plain arrow right white plain arrow

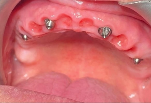
Case 10

Full Upper Arch Dental Implants Take a look at this life-changing transformation at Smile Success! Using full upper arch dental implants, we restored our patient’s…

Explore right white plain arrow right white plain arrow

Case 11

Check out this fresh smile transformation at Smile Success! We combined a thorough hygiene treatment with composite bonding to give our patient a clean, polished,…

Explore right white plain arrow right white plain arrow

Case 12

Check out this beautiful smile makeover at Smile Success! We combined composite bonding and teeth whitening to give our patient a bright, balanced, and natural-looking…

Explore right white plain arrow right white plain arrow
smilesuccess

General Dentistry

Explore right white plain arrow right white plain arrow
smilesuccess

Cosmetic Dentistry

Explore right white plain arrow right white plain arrow
smilesuccess

Teeth Straightening

Explore right white plain arrow right white plain arrow
smilesuccess

Dental Implants

Explore right white plain arrow right white plain arrow
logo gold plain symbol

testimonials

what our patients say

“I'm currently having an implant done and the process has been fantastic. From the first step of booking an appointment and having my initial scan...”

Khalil M.

star gold plain icon

“Teamwork makes the dream work, everyone involved turned my nightmare around, I've had a lifetime fear of the dentist and the treatment I've received has...”

Christine C.

star gold plain icon

“Just finished having my second implant fitted and I am over the moon with the service and results that Smile Success delivered. I had visited...”

Kellie V.

star gold plain icon

“I discovered Smile Success through a family member and could not have been happier so far. My first appointment was with Dr Nadeem, a lovely...”

Lou C.

star gold plain icon

“I would highly recommend this practice all the staff were so lovely and helpful from my 1st appointment. I first went here believing there was...”

Kayla M.

star gold plain icon

“I have recently had 3 implants placed at Smile Success. From start to finish the service was professional, but friendly. All the staff I dealt...”

Elisabeth B.

star gold plain icon

“I am a very nervous patient and was terrified at the thought of a dental implant. Nikki was the first big step in this journey....”

Deborah C.

star gold plain icon

“Amazing experience from start to finish. I’ve had an awful year with a dentist in general including wisdom teeth out and then getting trismus which...”

Sharon M.

star gold plain icon

“I am about to complete my first implant procedure; I was very nervous but I need not have worried the service I received was very...”

John S.

star gold plain icon

“5* review for Smile Success. I first visited just under a year ago to see Sheema, their hygienist. She has been so helpful and understanding...”

Emma B.

star gold plain icon

“I have been with this practice for approximately ten years. In this time I have always found the team Proffesional, diligent and with integrity. I...”

Karen H.

star gold plain icon

“Implants are expensive but I think my old dentist was extortionate, so I was looking for a more reasonable price when I found Smile Success...”

Dewi J.

star gold plain icon
Book a Consultation right white plain arrow right pink plain arrow View our testimonials right white plain arrow right gold plain arrow

Speak to us

Book a Consultation

Book a Consultation right white plain arrow right pink plain arrow
BOOK YOUR CONSULTATION TODAY
4.9
Google-review