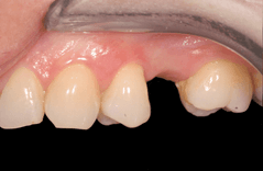
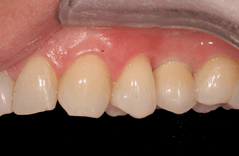
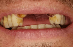
AN IMPLANT TEAM THAT TEACHES
- Renowned teacher of implants – teaches other dentists.
- One of the first Dentists in the UK to have gained a Master’s Degree in Dental Implantology.
- 19 years of experience and over 5,000 implants placed with a 98% success rate.
- From the world-renowned Eastman Dental Institute, London.
- Heavily involved with training and mentoring dentists in the field of Dental Implants and computer-guided implant surgery worldwide.



